新闻资讯
当我们学习新知识时,大脑突触会悄悄调整自身强度;当神经疾病破坏信号传递时,突触竟能自我补偿——这种神奇的"稳态可塑性"是大脑韧性的核心。近期,《Neuron》期刊的突破性研究发现,Sema3a蛋白及其受体构成的信号通路,竟是支配从肌肉到海马突触"自我稳压"的通用开关。该发现不仅解开了神经科学20年谜题,更为阿尔茨海默病、癫痫等疾病的治疗提供了全新靶点。

研究思路:
针对“不同突触如何实现统一稳态调控”这一科学难题,研究团队构建了闭环式研究体系:首先通过基因定位策略,利用Sema3aK108N点突变小鼠模型锁定关键蛋白,并结合重组蛋白修复技术验证其对突触稳态的急性调控功能;继而采用双模解码手段,同步运用电生理记录突触传递效能与超分辨率荧光动态成像技术,毫秒级捕捉囊泡从"静息池"向"释放池"调度的关键过程;最终通过通路破译方案,在海马和神经肌肉接头(NMJ)实施神经特异性基因敲降(KD)切断信号流,并借助跨物种(果蝇→小鼠)进化比对,揭示该调控通路的深层保守性。
研究方法和结果:
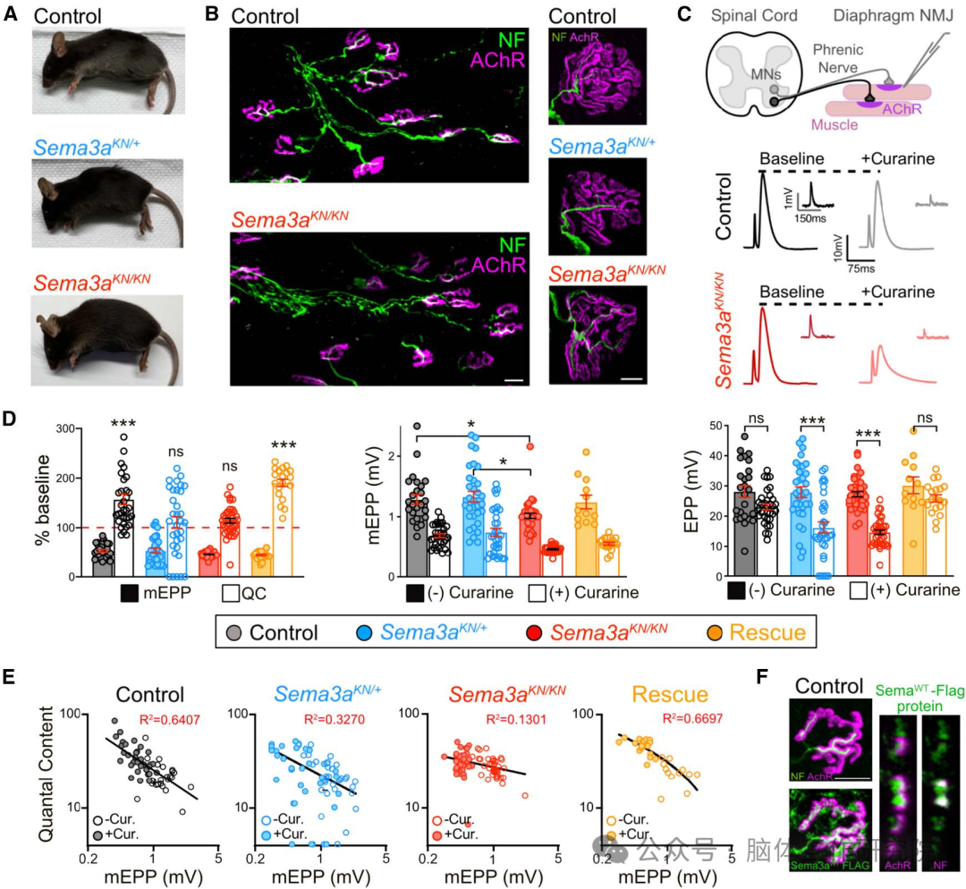
1.Sema3a在神经肌肉接头(NMJ)的PHP核心作用
方法:
电生理记录小鼠膈肌NMJ量子释放(QC)
应用AChR拮抗剂箭毒(0.1μM)诱导PHP
Sema3aK108N突变体vs野生型对比
添加重组Sema3a蛋白(100nM)功能回补
结果:
✅ 突变体PHP完全丧失(QC补偿消失)
✅ Sema3a重组蛋白恢复PHP功能
✅ 免疫荧光证实Sema3a精准锚定突触前活性区

图1 Sema3a 对小鼠神经肌接头处的 PHP 是必需的
2. 海马神经元中Sema3a的PHP必要性
方法:
RNAscope定位Sema3a在海马CA1区表达
AAV-shRNA敲降(KD)神经元Sema3a
钙输入-输出范式标准化刺激强度
结果:
✅ Sema3a特异性表达于锥体神经元
✅ KD后AMPAR阻断(GYKI)无法诱导PHP
✅ 突触传递基础功能不受影响号

图2 在成年小鼠大脑中表达的 Sema3a 对 PHP 是必需的
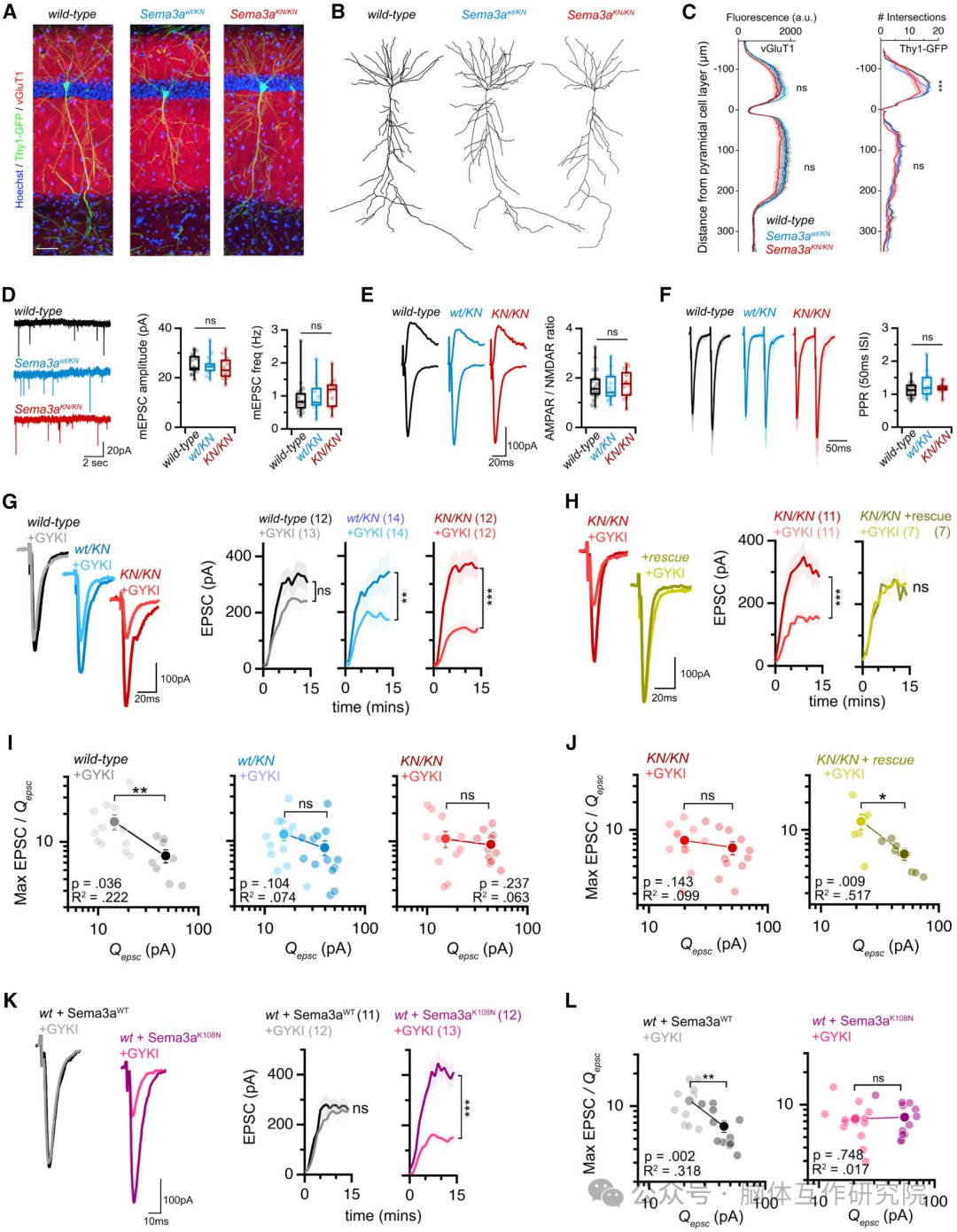
3. Sema3a突变体的海马PHP缺陷
方法:
Thy1-GFP标记锥体神经元三维重建
钙输入-输出结合GYKI处理
结果:
✅ 突变体树突复杂性降低
✅ PHP抑制呈基因剂量依赖性(杂合>纯合缺陷)
✅ 外源Sema3a蛋白40分钟急性修复PHP

图3 Sema3a K108N 突变小鼠缺乏海马体PHP
4. PHP驱动囊泡释放库(RRP)扩张
方法:
20Hz高频刺激诱导囊泡耗尽
SMN模型估算RRP大小
结果:
✅ GYKI处理使RRP扩大
✅ 突变体中RRP扩张消失
✅ 突变型Sema3a蛋白阻断RRP重组

图4在 PHP 期间突触小泡预备池发生稳态扩张
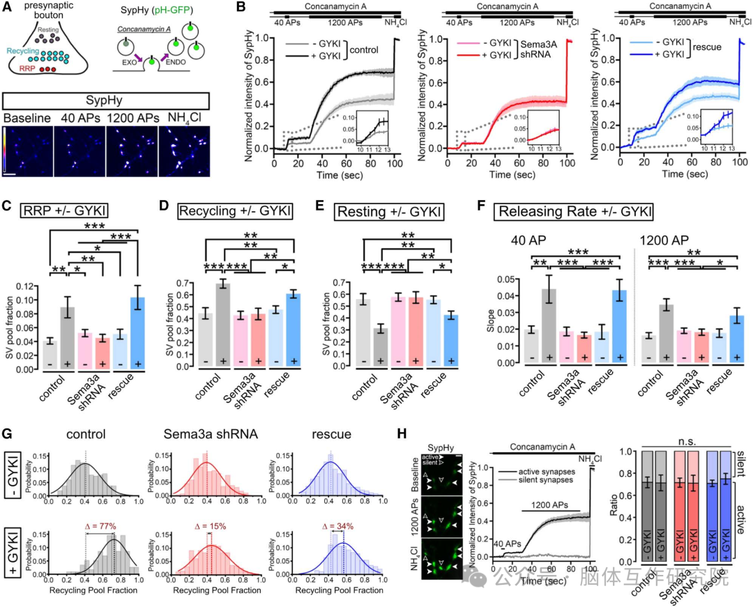
5. 光学成像揭示囊泡重分配机制
方法:
pH敏感荧光探针SyPHy活体成像
区分囊泡池:静息池/释放池/循环池
900次动作电位刺激量化池动态
结果:
✅ PHP触发静息池→释放池转运
✅ Sema3a-KD完全阻断重分配
✅ 释放速率提升

图5 PBNdl神经元的一个亚群将肠道D-葡萄糖信息传递给CRF PVN神经元
6. Sema3a调控跨模态抑制可塑性(CMIP)
方法:
0mV电压钳记录抑制性突触后电流(IPSC)
GYKI诱导兴奋-抑制联动
结果:
✅ 野生型中GYKI增强抑制性传递
✅ 突变体CMIP完全丧失
✅ 抑制性突触RRP同步扩张依赖Sema3a

图6 在 Sema3a K108N 突变海马体中 CMIP 受阻
7.三维电镜解析突触超微结构
方法:
40nm切片三维电镜重建
量化活性区面积/囊泡锚定数
结果:
✅ PHP使活性区面积扩大
✅ 锚定囊泡数增加
✅ Sema3a突变破坏结构-功能关联

图7 Sema3a 对结构性 PHP 是必需的
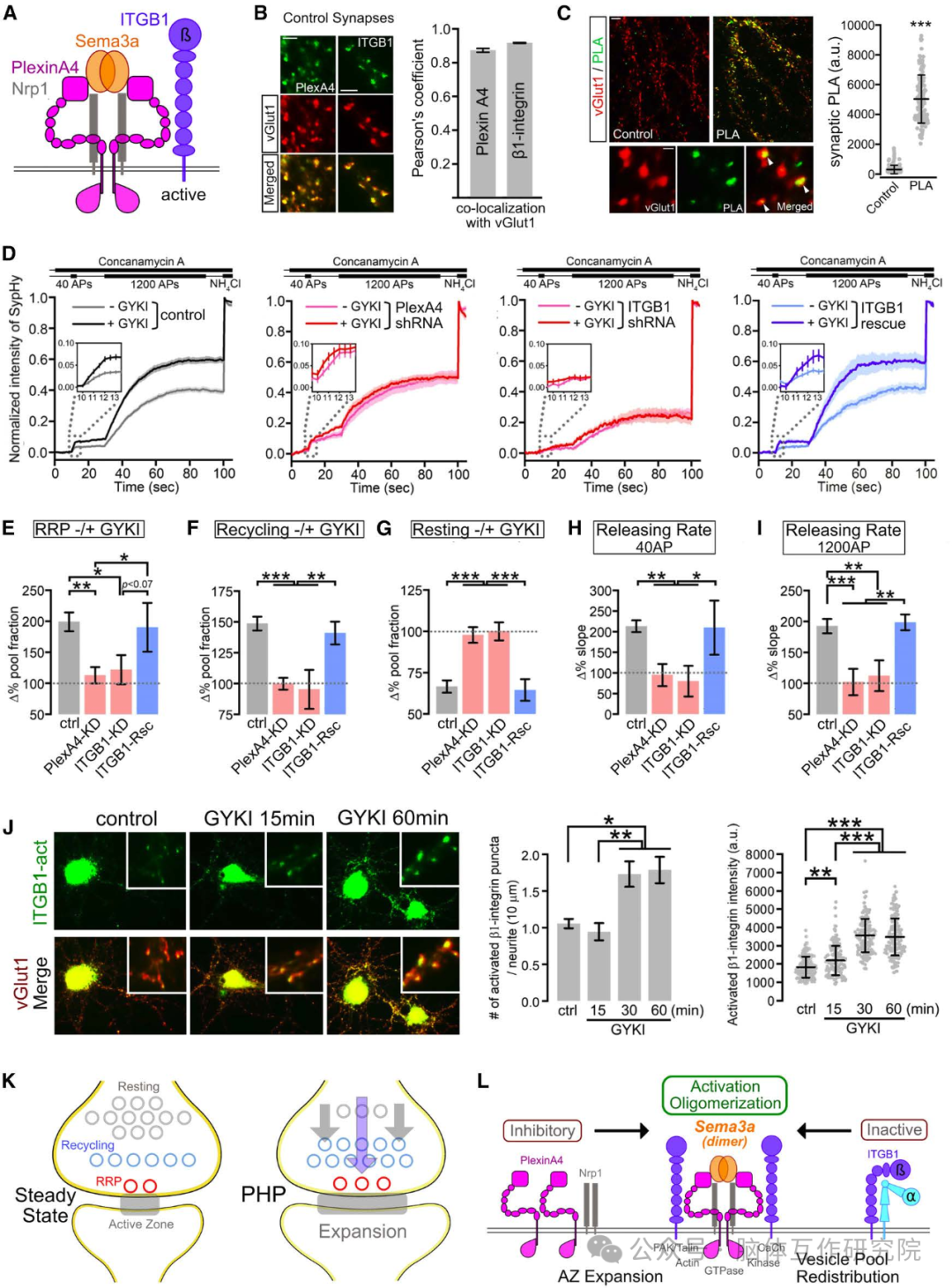
8. PlexinA4-ITGB1受体复合物验证
方法:
邻近连接技术(PLA)检测受体互作
原代神经元shRNA双重KD
ITGB1激活构象抗体标记
结果:
✅ PlexinA4-ITGB1形成突触前复合体
✅ 双重KD选择性阻断PHP
✅ PHP诱导ITGB1构象激活
✅ 跨物种核心证据:果蝇NMJ同源通路驱动囊泡重分配(讨论节)

图8 PlexinA4 和 ITGB1 对 PHP 是必需的
研究结论:
本研究首次揭示Sema3a-PlexinA4-ITGB1轴是跨突触类型的通用稳态语言:其机制突破体现为驱动囊泡从静息池向释放池毫秒级重分配,同步维持突触超微结构中活性区面积与囊泡锚定数的精确关联;在疾病破局层面,该通路为神经退行性疾病提供全新干预靶点——阿尔茨海默病的突触失效可通过Sema3a激动剂修复,癫痫异常放电可经ITGB1调控再平衡;进化启示揭示该通路从果蝇神经肌肉接头到人类海马突触的4亿年保守性,印证"神经韧性"是生命体的进化刚需。基于此,临床转化前瞻包括:研发Sema3a鼻腔喷雾剂靶向增强阿尔茨海默病突触稳态,设计PlexinA4小分子调节剂精准控制癫痫病灶放电,以及以囊泡转运效率为生物标志物开发神经退行病变早期诊断新技术。
参考文献:Peter H. Chipman, Unghwi Lee, Brian O. OrrRichard D. Fetter, and Graeme W. Davis. A unifying mechanism for presynaptic homeostatic plasticity at mammalian peripheral and central synapses, Neuron. Published online June 30, 2025. doi:10.1016/j.neuron.2025.05.030. IF: 15.0 Q1.
创作声明:本文是在原英文文献基础上进行解读,存在观点偏向性,仅作分享,请参考原文深入学习。


想了解更多内容,获取相关咨询请联系
电 话:+86-0731-84428665
伍经理:+86-180 7516 6076
徐经理:+86-138 1744 2250
邮 箱:consentcs@163.com

订购和售后
邮箱:consentcs@163.com
地址:湖南省长沙市高新技术开发区青山路699号湖南省军民融合科技创新产业园8栋B座1609室
微信公众号
Copyright © 康森特生物科技(长沙)有限公司 2024
本网站销售的所有产品均不得用于人类或动物之临床诊断或治疗,仅可用于工业或者科研等非医疗目的。
售前:+86-0731-84228665
+86 -180 7516 6076
售后:+86 -180 7516 7741
传真:+86-0731-84228665