Science Advances:宋学军团队揭示丘脑神经元调控麻醉后苏醒的神经环路和分子机制
来源:
|
作者:康森特生物科技
|
发布时间: 2025-12-19
|
408 次浏览
|
🔊 点击朗读正文
❚❚
▶
|
分享到:
已有明确证据表明,丘脑神经元投射到初级体感皮层(S1)的环路在调控意识感知过程中发挥关键作用。在丘脑-体感回路中,丘脑腹后内侧核(VPM)的神经元均为谷氨酸能神经元;这些VPM神经元主要投射至初级体感皮层(S1),与其中的谷氨酸能神经元(Glu)和γ-氨基丁酸(GABA)能神经元形成突触连接。
2025年12月5日南方科技大学宋学军团队在Science Advances杂志发表文章揭示VPM神经元调控麻醉后苏醒的神经环路和分子机制。
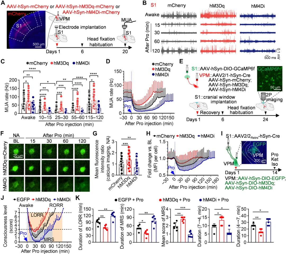
1、VPM-Glu→S1-Glu兴奋性环路调控麻醉后的意识恢复
小鼠在接受腹腔注射丙泊酚或氯胺酮后记录翻正反射和翻正反射消失的持续时间,发现在注射后15至60分钟期间持续约45分钟无意识状态,该阶段处于最低意识水平,无法对外界刺激作出反应(称为最低意识状态)。研究人员通过化学遗传学方法慢性激活VPM神经元,发现能显著缩短麻醉小鼠MRS持续时间,并促进其意识恢复。相反,抑制该神经元群则延长MRS持续时间,阻碍意识恢复进程。进一步电生理实验表明,慢性激活VPM神经元可显著减轻丙泊酚对S1神经元活动的抑制作用;而抑制VPM神经元则显著增强丙泊酚对S1神经元活动的抑制效应。慢性激活VPM→S1环路促进麻醉小鼠的意识恢复,反之抑制该环路阻碍麻醉小鼠的意识恢复。
原位杂交实验发现VPM脑区神经元几乎都是VGLUT1阳性神经元。病毒示踪实验发现VPM兴奋性神经元可与S1神经元Glu和GABA能神经元形成突触连接。慢性激活VPM-Glu→S1-Glu兴奋性环路可促进丙泊酚麻醉后的苏醒,抑制该环路阻碍麻醉后的苏醒。然而,慢性激活或抑制VPM-Glu→S1-GABA抑制性环路均不影响麻醉后的苏醒。
图1、VPM-Glu→S1-Glu兴奋性环路调控麻醉后的意识恢复
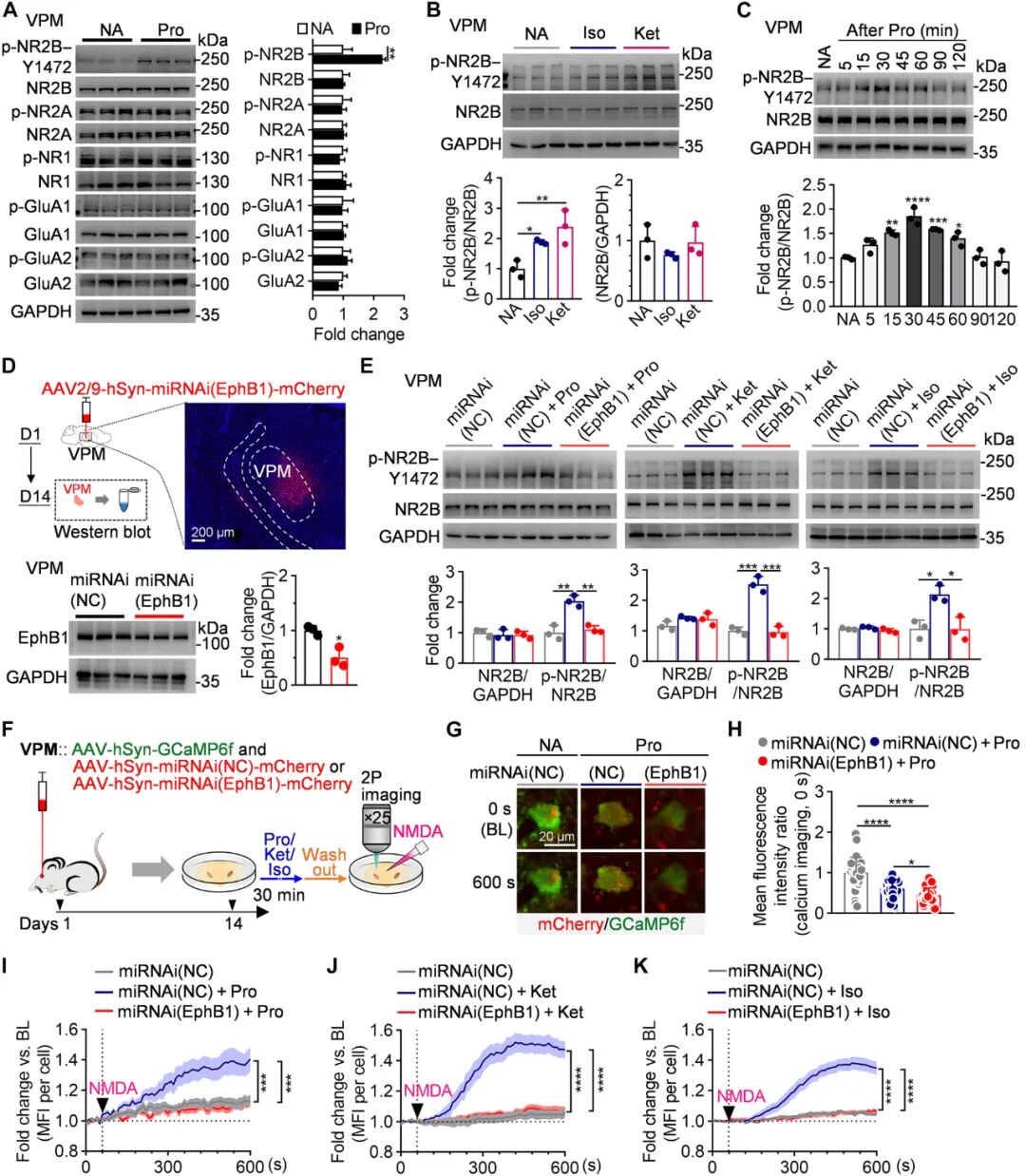
2、VPM脑区EphB1-NR2B Y1472磷酸化信号调控麻醉后意识恢复过程
EphB受体(包括EphB1–B4和EphB6)是一类受体酪氨酸激酶,与N-甲基-D-天冬氨酸受体(NMDAR)的亚基NR1直接发生细胞外相互作用,并可调节NR2B的磷酸化。研究人员发现处于最低意识状态小鼠VPM脑区组织EphB1 mRNA水平显著升高,EphB2-4和EphB6 mRNA水平并未出现变化。分生实验发现VPM脑区组织EphB1磷酸化水平显著升高,表明最低意识状态下小鼠VPM脑区组织EphB1激活。利用病毒工具特异性敲低小鼠VPM脑区组织EphB1后麻醉状态下小鼠翻正反射消失的持续时间延长,MRS持续时间延长。麻醉后小鼠VPM脑区神经元放电频率降低,敲低EphB1后可进一步增强其抑制作用。EphB1受体竞争性拮抗剂也能发挥类似的麻醉后意识恢复延迟作用,提示VPM脑区组织ephrinB-EphB1信号激活促进麻醉后意识恢复。
利用病毒工具特异性敲低VPM-Glu→S1-Glu兴奋性环路EphB1后可增强丙泊酚对VPM和S1脑区神经元活动的抑制作用,延迟小鼠苏醒。为进一步揭示EphB1调控VPM神经元活性的分子机制,研究人员检测苏醒小鼠和MRS小鼠VPM脑区NMDARs 和 AMPARs亚基的表达,结果显示, MRS 小鼠NMDA 受体亚基 NR2B 酪氨酸 1472 位点(Y1472)的磷酸化水平显著升高。
进一步研究表明,敲低EphB1 可明显阻断麻醉诱导的 NR2B Y1472 磷酸化水平升高。钙离子成像发现麻醉促进VPM神经元NMDA驱动的钙离子内流,敲低 EphB1 可明显阻断这种促进作用。通过点突变NR2B Y1472方式抑制NR2B Y1472磷酸化水平后阻断麻醉引起的VPM神经元钙离子内流,并增强增强丙泊酚对VPM和S1神经元活动的抑制效应,MRS持续时间延长,阻碍意识恢复。
图2、敲低 EphB1 抑制NR2B Y1472 磷酸化水平
3、VPM脑区EphB1-KCC2信号调控麻醉后意识恢复过程
VPM脑区K+/Cl−共转运蛋白2(KCC2)泛素-蛋白酶体降解已被证明是麻醉后意识恢复的共同机制。丙泊酚麻醉后VPM脑区KCC2蛋白表达下调,KCC2泛素化水平升高,抑制钾离子驱动的氯离子内流。而敲低EphB1则能显著阻断丙泊酚诱导的上述变化,提示敲低EphB1影响KCC2功能。抑制NR2B Y1472磷酸化不能逆转麻醉诱导的KCC2蛋白下调;同样,过表达稳定的KCC2突变体(T1007A)也无法改变麻醉后NR2B Y1472的磷酸化水平,即EphB1 -NR2B Y1472磷酸化信号与EphB1 -KCC2信号调控麻醉后苏醒过程是独立的。
总结:
本文揭示了麻醉后意识恢复的神经环路和分子机制:激活VPM-Glu→S1-Glu兴奋性环路促进苏醒;EphB1 -NR2B Y1472磷酸化信号与EphB1 -KCC2信号均调控麻醉后苏醒过程。
参考文献:Liu et al., Sci. Adv. 11, eadw7972 (2025) ,EphB1-NR2B receptor signaling in glutamatergic neurons of the ventroposteromedial thalamic nucleus regulates emergence from anesthesia
创作声明:本文是在原英文文献基础上进行解读,存在观点偏向性,仅作分享,请参考原文深入学习。


想了解更多内容,获取相关咨询请联系
电 话:+86-0731-84428665
伍经理:+86-180 7516 6076
工程师:+86-180 7311 8029
邮 箱:consentcs@163.com
